Новости Владивосток

Врачи во Владивостоке собрали челюсть двухлетнему ребёнку, пострадавшему в аварии

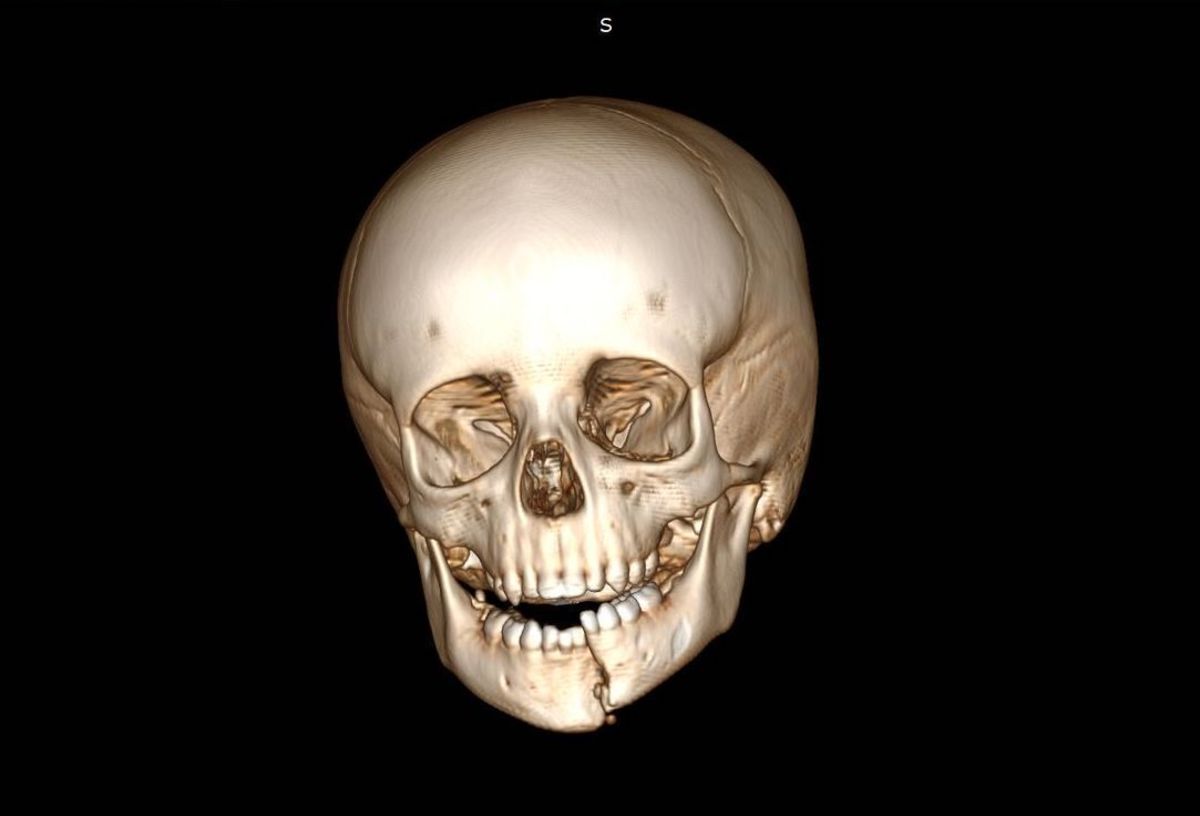
Специалисты Краевой клинической больницы № 2 прооперировали двухлетнего пациента, пострадавшего в серьёзной аварии 10 дней назад. У ребёнка был тяжёлый перелом челюсти, который потребовал остеосинтеза.

«В минувшую пятницу бригада челюстно-лицевых хирургов Краевой клинической больницы № 2 прооперировала двухлетнего пациента, находящегося на лечении в отделении реанимации Тысячекоечной больницы. Ребёнок попал в реанимацию после серьёзного ДТП, которое произошло 11 апреля на 419-м км федеральной трассы А-370 «Уссури» недалеко от Лесозаводска. Челюстно-лицевые хирурги блестяще выполнили остеосинтез тяжёлого перелома нижней челюсти – соединили разрозненные костные осколки титановыми мини-пластинами», – сообщили в больнице.

Там отметили, что после применения титановых конструкций целостность лицевого скелета восстанавливается быстрее, а сама операция металлоостеосинтеза позволяет минимизировать последствия травмы.

Напомним, что в аварии столкнулись Nissan Vanette и Suzuki Escudo. По предварительным данным, водитель Vanette выехал на встречную полосу. В результате ДТП травмы получили пять человек, в том числе ребёнок.


Обсудить в Telegram
Заведующий отделением челюстно-лицевой хирургии, врач высшей категории, главный внештатный челюстно-лицевой хирург Приморского края Алексей Романчук — newsvl.ru Снимок пострадавшего ребёнка — newsvl.ru
Заведующий отделением челюстно-лицевой хирургии, врач высшей категории, главный внештатный челюстно-лицевой хирург Приморского края Алексей Романчук — newsvl.ru Снимок пострадавшего ребёнка — newsvl.ru
Пришлите свою новость
Пришлите свою новость
Полная версия сайта